Case
症例
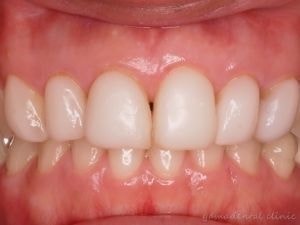
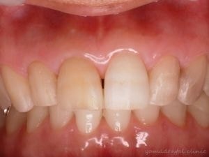
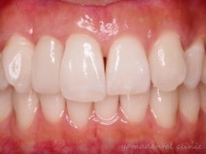
Case1
スーパーエナメル / 色
お悩み
歯の色が気になり、樹脂素材のベニアをしていたが
変色してきたのできれいにしたい
ベニアを除去します
スーパーエナメルを装着
変色してきたのできれいにしたい

ベニアを除去します

スーパーエナメルを装着

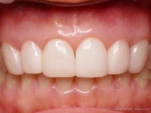
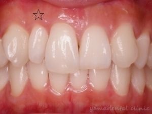
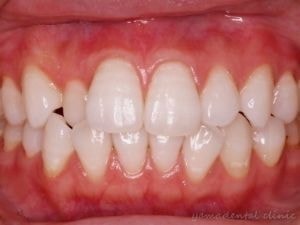
Case2
スーパーエナメル / 形
お悩み
写真に写った時に影になり歯がないみたいに見える
(☆印の歯)
気になる1歯にだけスーパーエナメルを装着
(☆印の歯)

気になる1歯にだけスーパーエナメルを装着

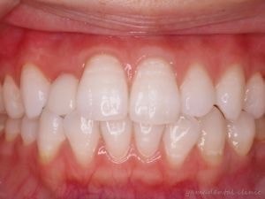
Case3
スーパーエナメル / 凹み
お悩み
1本だけ内側に入っている歯が気になるので
矯正をせずに解決できますか?
噛み合わせに問題がありませんでしたので
スーパーエナメルを装着
矯正をせずに解決できますか?

噛み合わせに問題がありませんでしたので
スーパーエナメルを装着

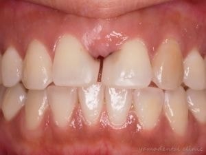
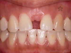
Case4
スーパーエナメル・矯正 / すき間
お悩み
すき間が気になりつめ物をしていたが、
定期的に取れたり、色がついてしまう
すき間を埋めることと併せて
左側2番目の歯(☆)の色もスーパーエナメルで
合わせていくことになりました
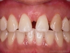
このまま装着すると前の2本だけが
とても大きくなるのでバランスを取るために
インビザライン矯正で前歯を少し動かしました
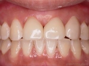
スーパーエナメルを装着
定期的に取れたり、色がついてしまう

すき間を埋めることと併せて
左側2番目の歯(☆)の色もスーパーエナメルで
合わせていくことになりました

このまま装着すると前の2本だけが
とても大きくなるのでバランスを取るために
インビザライン矯正で前歯を少し動かしました

スーパーエナメルを装着
